EG-UC5T

超声电子上消化道内窥镜

广告

  • 搭载百万级CMOS成像技术

  • 及自主研发凸阵换能器,

  • 可呈现优质的内镜和超声画面

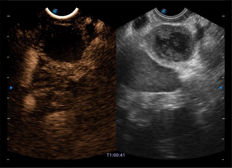
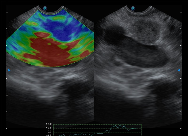
高端超声影像平台

基于二十年的超声技术积累,DB中国旗舰官方网站提供了最新一代的独立超声主机,在提供高质量图像的同时满足多学科使用。具备常见多普勒技术并提供弹性成像、声学造影等高端影像技术。新一代传感器具有更强的抗干扰能力并减少图像伪影。

卓越的镜体性能

  • 4.0mm大钳道

  • 12.6mm先端部外径

  • 150°超声扫描角度

  • 4-12MHZ宽频输出

  • 清洗质控再升级

    内镜先端预设的独特切口,有助于对抬钳器全方位无死角的刷洗,降低交叉污染的风险。

  • 更舒适的人体工程学设计
    更强大的控制系统

    超声电缆线连接口远离手柄,内镜操控更加轻巧灵活

    可通过内镜按钮控制内镜及超声画面

禁忌内容或者注意事项详见说明书